Renal Dermoid; An Extremely Rare Cause of Renal Mass A Case Report from Black Lion Hospital, Ethiopia Tesfaye Kebede1*, Eyasu Wakjira2
Department of radiology, College of Health Sciences, Addis Ababa University, Ethiopia
*Correspondence to: Tesfaye Kebede
Citation: Kebede T and Wakjira E (2022) Renal Dermoid; An Extremely Rare Cause of Renal Mass A Case Report from Black Lion Hospital, Ethiopia. Sci Academique 3(1): 16-18
Received: 27 April, 2022; Accepted: 05 May 2022; Publication: 09 May 2022
Abstract
Mature cystic teratomas neoplasms are marked by differentiation of totipotential germ cells into mature tissues representing all three germ cell layers: ectoderm, endoderm, and mesoderm. Usually there is the formation of a cyst lined by recognizable epidermis replete with adnexal appendages hence the common designation dermoid cysts. Dermoid cysts of the kidney are exceedingly rare. We present a case of intrarenal dermoid cysts in a 30yrs old man.
Keywords: Renal; Mature cystic teratoma; Dermoid cyst
Introduction
Mature cystic teratomas neoplasms are marked by differentiation of totipotential germ cells into mature tissues representing all three germ cell layers: ectoderm, endoderm, and mesoderm. Usually there is the formation of a cyst lined by recognizable epidermis replete with adnexal appendages hence the common designation dermoid cysts [1]. Dermoid cysts of the kidney exceedingly rare [2,3]. Teratomas commonly arise in the gonads, sacrococcygeal region, pineal gland, and retroperitoneum. The proximity of the genital ridge to the nephrogenic anlage may partly explain how germ cells could be displaced within the kidney [4]. We present a case of intrarenal dermoid cysts in a 30yrs old man.
Case Report
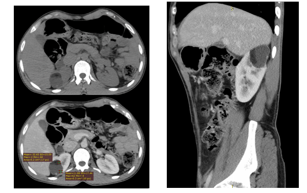
A 58-year-old man presented with history of flank pain. Physical examination showed no palpable masses. Laboratory investigations were in the normal range. Ultrasonography (US) revealed a well circumscribed 4.8 x3.6 x 3.7 cm mass arising within the upper pole of the right kidney (Figure 1). The mass consisted of predominantly hypoechoic portion which demonstrated posterior acoustic enhancement. There is also a hyperechoic component overlaying the cystic portion with fat fluid level suggesting the diagnosis of dermoid cyst. Pre and post IV contrast abdominal CT done with 128 slice CT machine reveled 4.8 x 3.8 x 3.7 cm well circumscribed mass in the upper pole of the right kidney (Figure 2). The mass had a fat attenuation component overlaying the predominant fluid attenuation component with clear fat fluid level. No calcification was seen which confirmed the diagnosis.

Figure 1: Ultrasound image depicting cystic mass in the upper pole of the right kidney with hyperechogenic fat overlaying the cystic component.

Figure 2: Axial pre and post contrast and coronal post contrast images demonstrating a mass in the upper pole of the right kidney with a fat fluid level.
Discussion
Dermoid cyst arises from the inclusion of ectodermal elements during embryological development close to the lines of embryonic fusion. The cyst wall is lined by stratified squamous epithelium with the presence of skin appendages such as sebaceous and sweat glands [2]. The gonads are the most common site for germ cell tumors but have also been found in the anterior mediastinum, retroperitoneum, sacrococcy-geal region, brain, and gastrointestinal tract. This diverse distribution is thought to reflect the migration of primitive germ cells from their origin in the wall of the yolk sac along the dorsal mesentery of the hindgut to the genital ridges during the 3rd to 6th weeks of embryonic life. The proximity of the genital ridge to the nephrogenic anlage may partly explain how germ cells could be displaced into the kidney [3].
There are only few cases of dermoid cysts reported ever since it was first reported in 1915 by Baldwin [5]. Choi et al found only 20 reports of presumably primary intrarenal teratomas published since 1934. Twelve of these teratomas (60%) were found in children and eight (40%) in adults (average age, 17 years; median age, 3 years). The female-to-male ratio was about 1.4:1 (1.8:1 in children; gender was not reported in one pediatric case. Fifteen teratomas (75%) were of immature histologic grade, and of these tumors, just under one-half were locally infiltrating or metastatic (similar for children) [3]. Primary renal carcinoid tumors associated with teratoma are also noted. Kojiro and colleagues reported a large carcinoid tumor (17cm) with a cystic teratoma in a 40-year-old man [6].
Extra gonadal germ cell tumors have been associated with horseshoe kidney [7].
Ultrasonography has shown cystic, heterogenous, mixed cystic solid, and hyperechoic masses with coarse foci of calcification. CT scan has demonstrated heterogenous masses, with cystic areas, and coarse foci of calcification. These features aforementioned were seen in this presentation, and they were essentially also the features of renal tumours. Although it was mentioned that such a diagnosis should be a prime consideration when there is dense calcification, Choi, et al. on the other hand, reported a case in which there was no calcification seen in the lesion [2,3]. The common differential diagnosis suspected preoperatively in adults includes an unspecified renal tumour, renal cell carcinoma or infected renal cyst [2,3].
In conclusion, radiologist should take into account intrarenal dermoid in cases with similar imaging features.
References
- Kumar V, Abbas A, Fausto N, Mitchell R (2007) Robbins Basic Pathology, 8th ed: page 733.
- Goh EH, Christopher CKH, PraveenS, Tan GH (2011) Nephrectomy for a Case of Intrarenal Dermoid Cyst: Was it an Appropriate Decision?. Journal of Surgical Academia: 1.
- Choi DF, Wallace EC, Fraire AE, Baiyee D (2005) Best cases from the AFIP: intrarenal teratoma. Radiographics 25: 481-485.
- Idrissi-Serhrouchni, El-Fatemi H, El madi A, Benhayoun K, Chbani L, et al. (2013) Primary Renal Teratoma: a rare entity. Diagnostic Pathology 8: 107.
- Baldwin JF (1915) Dermoids of the Kidney. Surg Gynecol Obstet 20: 219.
- Kojiro M, Ohishi H, Isobe H (1976) Carcinoid tumor occurring in cystic teratoma of the kidney: a case report. Cancer 38: 1636-1640.
- Ankita N, Rahul k, Anusheel M, Kumar P (2012) Unusual co-existence of renal anomaly and germ cell tumors: an embryonal Happenstance?. Indian J Med Pediatric Oncol 33: 179-181.
